
はじめに
肺高血圧症とは、様々な原因で肺の血圧が上昇し、呼吸困難や失神、時には心不全などを引き起こす疾患です。
今回は、実際の症例を交えながら犬の肺高血圧症について解説していきます。
簡単な仕組みと病態

(上記画像はヒトの心臓の模式図です)
肺高血圧症は、後述する様々な原因で肺動脈圧が上昇してしまう疾患です。
肺動脈圧が上昇した結果、右心系に圧負荷がかかり、以下のような心臓の変化が起きてきます。
- 右心室から右心房へ血液の逆流が起こる(三尖弁逆流)
- 右心系に負荷がかかることにより、右心系の拡大や右心室の心筋が分厚くなる
- 肺動脈や後大静脈の拡張
これらの変化がどの程度起きているかによって、肺高血圧症の診断や重症度の判断を行います。
また、これらの心臓の変化が起きた結果、体内では以下のような変化が起こります。
- 肺の血液の流れが悪くなり、体内に酸素を取り込みづらくなる
- 心拍出量が低下し、全身の血液の流れが悪くなる
- 右心系に血液がうっ滞し、胸水や腹水の貯留などの右心不全を引き起こす
これらの結果、後述する様々な症状を引き起こしてしまいます。
原因
原因として、以下のカテゴリー分類が用いられています。
グループ1:肺動脈性肺高血圧症(特発性肺動脈性肺高血圧症、動脈管開存症や心室中隔欠損症などの短絡性疾患)
グループ2:左心疾患によるもの(僧帽弁閉鎖不全症など)
グループ3:呼吸器疾患や低酸素症によるもの
グループ4:肺塞栓症、肺血栓症、肺血栓塞栓症によるもの
グループ5:寄生虫によるもの(犬糸状虫など)
グループ6:複合的、または詳細不明なもの
原因が特定できるものもありますが、場合によっては様々な原因が絡んでおり、詳細な原因までは特定できないことも少なくありません。
症状
症状としては、以下のようなものが挙げられます。
- 息切れ、疲れやすい
- 失神、ふらつき
- チアノーゼ(舌が青紫色になる)
- 咳(原因である呼吸器疾患や左心疾患などによることも)
- 浮腫や腹水が溜まることによる腹囲膨満
- 胸水が溜まることによる呼吸促迫
診断
確実な診断には心臓カテーテル検査が必要ですが、全身麻酔が必要であったりと実際の臨床現場で行われることは少ないです。そのため、心臓超音波検査をメインに複合的に判断していきながら臨床診断を行います。
治療
原因となる疾患があれば、そちらに対する治療を優先的に行なっていきます。
原因不明な場合や原因疾患の治療のみではコントロールできない症例に関しては、肺血管拡張薬を使用します。
肺血管拡張薬には様々な種類がありますが、PDE5 阻害薬であるシルデナフィルというお薬を主に使用していきます。
症状もなく軽度な症例に関しては、投薬治療が必要ない場合もあります
症例
ここからは、実際の肺高血圧症の症例をご紹介させていただきます。
今回紹介する症例は、すでにかかりつけ医で肺高血圧症の治療薬であるシルデナフィルを飲んでおりましたが、改善が乏しいため、精査を目的に当院へご来院されました。
身体検査では、肺高血圧症の症状と思われる腹囲膨満、頸静脈拍動、後肢の浮腫が認められました。

腹部の超音波検査では、肺高血圧症が原因と思われる腹水の貯留を認めたため、腹水の抜去を行いました。
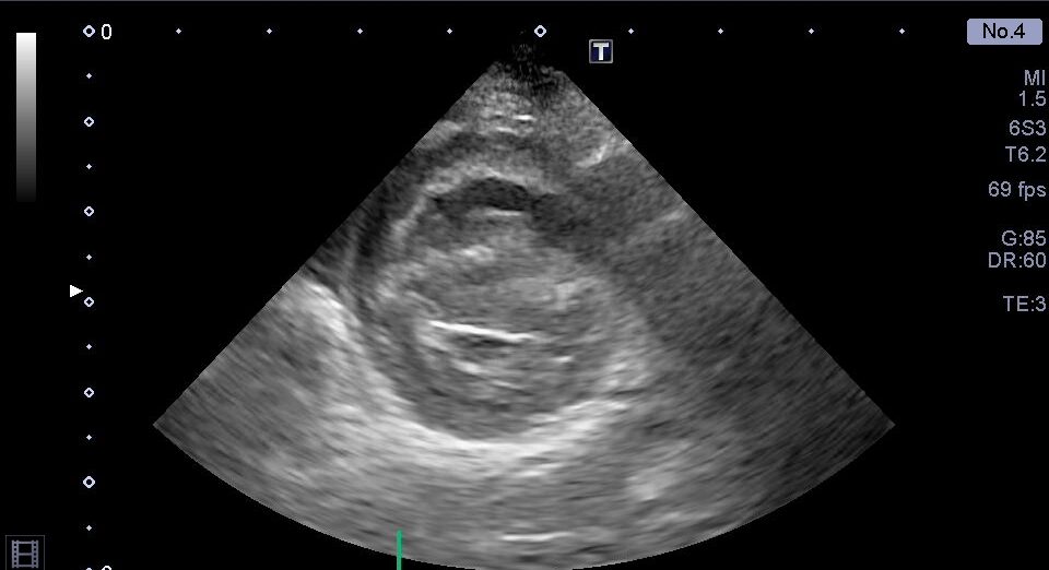
右心系の拡大
心室中隔の扁平化
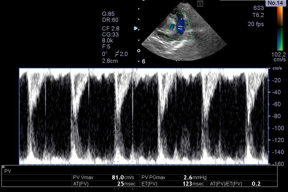
肺動脈血流の加速時間短縮
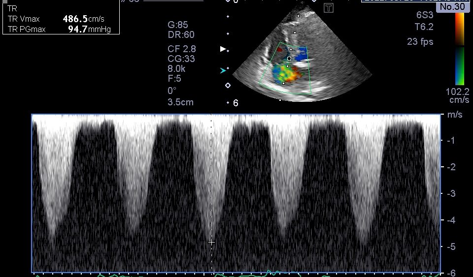
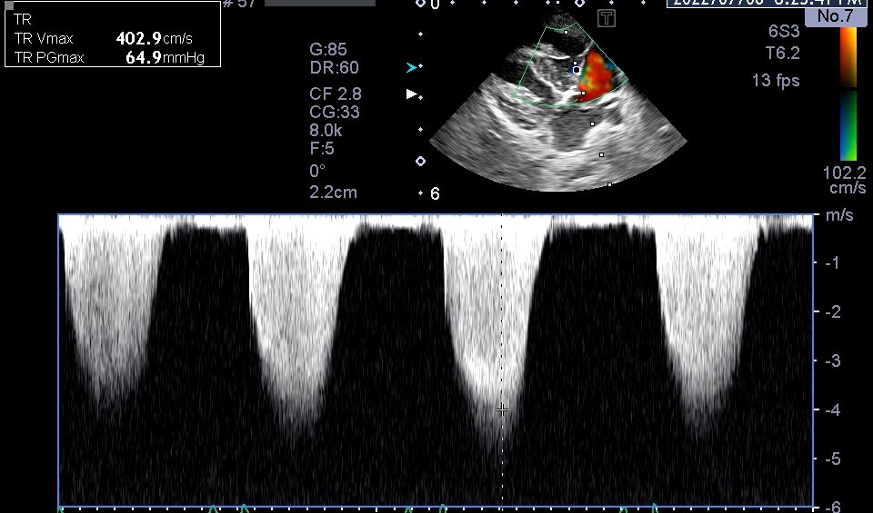
重度の三尖弁逆流
胸部超音波検査では、上記のような肺高血圧症による心臓の変化が認められました。
これらの所見から、現在の投薬では肺高血圧症のコントロールが難しいと判断し、利尿剤の追加とシルデナフィルの増量を行いました。
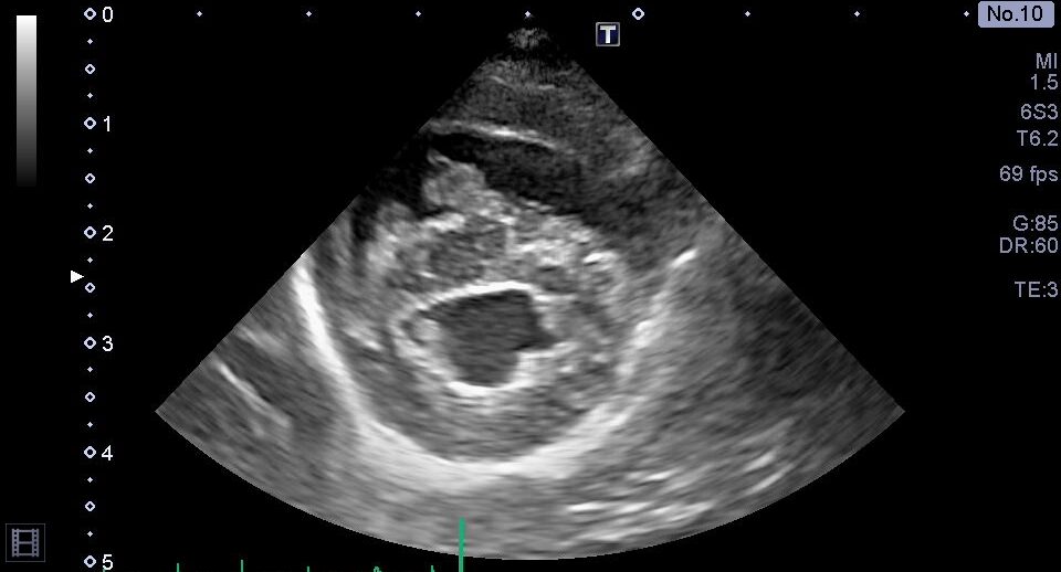
治療強化後の心臓超音波検査。右心系拡大の改善を認める。
心室中隔扁平化の改善
以前と比較して、三尖弁逆流速度の低下を認める
肺高血圧症に対する治療強化後の再診察では、上記のような心臓形態の改善を認めた他、呼吸の改善や腹水の顕著な減少を認めました。
これらの結果から、シルデナフィルの増量と利尿剤の追加が奏功したと判断し、内服薬による継続治療を行いました。
最後に
犬の肺高血圧症は複雑な病態であり、確実な診断のもと治療を行うことが重要です。
「最近疲れやすくなった」
「咳や失神、息切れが目立つようになった」
このような症状や、肺高血圧症についてお悩み事がございましたら、いつでも当院へご相談ください。
執筆 獣医師 稲見 光起
監修 院長 木﨑 皓太


